-
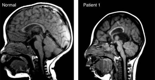
- ▲ 일반인과 '소두증' 환자의 뇌구조 비교사진. ⓒ쿼츠닷컴 보도화면 캡쳐
2015년 브라질을 시작으로, 갈수록 감염자가 늘고 있는 ‘지카 바이러스’의 확산세가 심상치 않다. 세계보건기구(WHO) 또한 이 문제를 놓고 긴급회의를 열기로 했다.
마가릿 찬 WHO 사무총장은 지난 28일(현지시간) 스위스 제네바의 WHO 본부에서 열린 운영위원회를 마친 뒤 ‘지카 바이러스’의 대규모 확산(Epidemic)에 관한 대책을 마련하기 위해 오는 2월 1일 긴급회의를 열기로 했다고 밝혔다.
마가릿 찬 WHO 사무총장은 “2015년 ‘지카 바이러스’가 미주 대륙에서 발병한 뒤 세계 23개 국가에서 발병 사례가 보고되는 등 폭발적인 확산세를 보이고 있다”고 지적하고, “국제보건규정에 따라 ‘지카 바이러스’ 대책 긴급회의를 소집하기로 했다”고 설명했다.
2월 1일 WHO 본부에서 열리는 긴급회의에서는 ‘국제 공중보건 비상사태(PHEIC, Public health emergency of international concern)’ 선포 여부와 국제적 공조를 통한 ‘지카 바이러스’ 확산 대응 방안 등을 논의할 것으로 알려졌다.
‘국제 공중보건 비상사태’는 질병이 다른 나라까지 확산되면서 국제 공중보건 상 위험하다고 판단되는 경우 발령하는 것으로 알려졌다. 2009년 멕시코에서 시작된 ‘신종플루(H1N1)’ 확산, 2014년 소아마비 바이러스 대유행, 2014년 에볼라 바이러스 유행 때 발령된 바 있다.
WHO에 따르면, 현재 중남미를 시작으로 북미, 유럽으로 퍼지고 있는 ‘지카 바이러스’는 2007년 남태평양의 미크로네시아, 2013년과 2014년 태평양 4개 섬나라에서 발생, 2014년 5월 브라질에서 본격적으로 유행하기 시작했다고 한다.
브라질에서 시작된 ‘지카 바이러스’가 심각하다고 알려지게 된 것은 바로 ‘소두증’ 때문이다. 임산부가 ‘지카 바이러스’를 옮기는 ‘이집트 숲모기’에 물린 뒤 출산한 아이들이 ‘소두증’에 걸린 사례가 크게 증가하자 전 세계가 주목했다.
‘소두증’이란 뇌가 자라지 않는 선천성 질병으로 신생아 때부터 뇌 성장이 제대로 되지 않아 갈수록 운동능력, 지각능력이 크게 떨어진다. 심할 경우에는 생명에도 지장을 준다.
WHO는 소두증의 원인이 되는 ‘지카 바이러스’의 감염자가 2017년까지 최대 400만 명에 이를 수도 있다고 우려하고 있다.
게다가 한국 등 동아시아에 서식하는 ‘흰줄 숲모기’도 ‘지카 바이러스’의 감염 숙주가 될 수 있다는 주장이 제기된 상태여서 ‘소두증’ 공포는 한동안 전 세계적으로 퍼질 것으로 보인다.





